Home » Tram Track Sturge Weber Syndrome Radiology » Tram Track Sturge Weber Syndrome Radiology
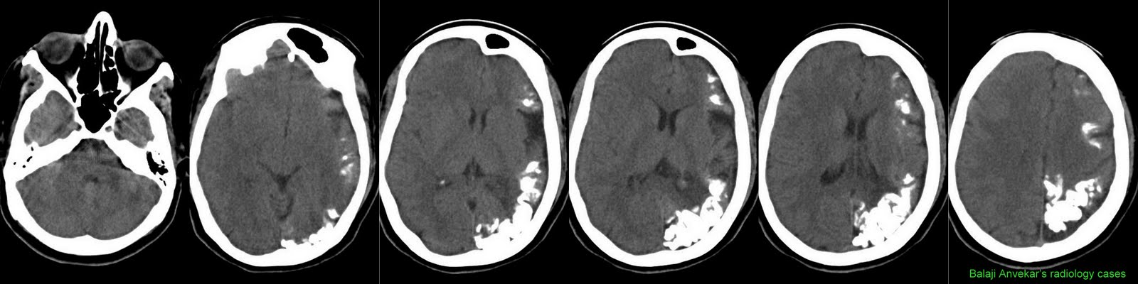
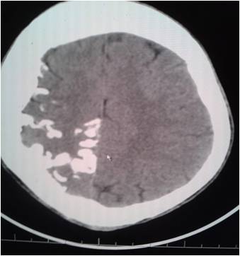
Tram Track Sturge Weber Syndrome Radiology












































